遺言能力・意思能力®
鑑定サービスとは
遺言能力・意思能力®を可視化して、事前のトラブル回避や
紛争解決をサポート
弊社では、高齢者の意思能力を評価する仕組みを必要とする社会が来るのではないかと考え、2013年から本サービスを開始しました。以来、生前・没後合わせて300件以上の遺言能力(意思能力)鑑定実績があります(2022年4月現在)。
弊社では、国内でも有数の権威ある専門医の方々のご協力のもと、鑑定を行っています。没後の相続トラブル事案はもちろん、生前の遺言作成や不動産売買等におけるトラブル回避、また、先生方の業務上のリスク回避にも、本サービスをぜひご活用ください。
※終活ガイド 有資格者6名在籍(2022年11月現在)
事例紹介
-
事例01
没後、複数の遺言の有効性が争われた事例
1
遺言作成当時85歳 女性
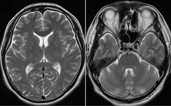
80代後半の女性A様は生前、複数の遺言書を作成されており、弊社へは平成26、27年に作成された遺言書についての評価依頼でご相談を頂きました。既に平成28、29年に作成された遺言書については意思能力®なしの方向で裁判所の理解が得られているため、平成26、27年の遺言書についても同様に意思能力®の無効を求めたご依頼でした。
A様は平成24年にアルツハイマー型認知症と診断されており、当時HDS-Rは10点。平成27年頃はHDS-R 4点~評価できないときも多々あり、平成27年頃のADLのスコアも低いとの記録が認められていました。弊社では、まず画像鑑定として脳MRIを精査したところ平成21年の時点で既に脳の萎縮を認めたため(画像1)、さらに神経内科専門医による評価を行ったところ、以下の見解が導き出されました。
医療記録・脳の検査画像・その他生活状況の資料より考えられる生活状況について
平成26、27年の遺言書作成当時の意思決定を行うための認知能力は、平成26年介護記録より、夜中に来客があると扉を開ける行動が見られ、翌年の27年、入院時の診療記録では、手段的日常動作能力検査(IADL)にて、請求書の支払いなど銀行の貯金の出し入れなどが困難とのきさいもあった。進行した認知機能の低下により、自分の意思の伝達能力については、具体的要求に限られるレベルであったと推定されることより、上記法律行為の全部を行うに十分な意思能力®は、なかったと結論する。以上のように弊社では、放射線科医による器質的な脳機能評価と臨床専門医による精査を組み合わせることでより詳細に当時の状況を再現し検討をすることが可能となります。
-
事例02
遺産相続争いを未然に防ぐ生前鑑定事例
鑑定当時89歳 会社経営者女性
遺言作成にあたり、遺産相続争いを防ぎたいとの思いから意思能力鑑定を依頼された。遠方のためオンラインにて実施。
-
事例03
任意後見契約時の親の意思能力が問われた事例
遺言作成当時85歳 男性
子のひとりが、親と任意後見契約を締結していたが、子の兄妹が、任意後見契約時の親の意思能力について疑義を抱き、鑑定依頼がなされた。
-
事例04
遺言書作成の際の生前鑑定事例
鑑定当時89歳 独身女性
姪に全財産を相続させるという内容の遺言作成にあたり、弁護士からの勧めもあり、意思能力鑑定を行なった。
-
事例05
没後に遺言作成時の意思能力が問われた事例
遺言作成当時92歳 男性
没後、相続人間で、被相続人の遺言作成当時の意思能力が争われ、遺言無効確認請求訴訟に発展。裁判資料として、一方の代理人弁護士より、当時の意思能力の有無について鑑定依頼がなされた。
メディカルリサーチの
意思能力®に対する
考え方

意思能力®は決して「あり」「なし」で断定されるものではありません。私たちの鑑定では、意思能力の程度や、どの分野(見当識、記憶、計算、復唱など)で欠落があるのかなどを鑑定しています。長谷川式やMMSEで総合得点が何点かということだけを見ていては、被相続人の意思能力®は鑑定できません。
主治医の診断書は被相続人の意思能力®の程度や有無が完全に表現されるものではなく、弊社では、カルテの記載、介護保険の主治医意見書、介護記録、処方内容などを厳密に精査した上で意思能力®の評価を行っています。
認知症と診断を受けている場合でも、遺言能力や意思能力が認められるケースは多々存在します。ぜひ、遺言能力(意思能力)サービスをご活用ください。
ご依頼の流れ
意思能力鑑定は、没後でも可能です。
生前の意思能力鑑定と没後の意思能力鑑定でご依頼の流れが異なります。
下記よりご依頼の流れをご確認ください。
生前の意思能力®鑑定
-
01
資料の送付
以下の資料を弊社宛にお送りください。
-
見積依頼書
-
必要に応じて、画像やカルテ等の医療資料
基本的に鑑定の実施場所は弊社(東京都千代田区)となりますが、WEBでの鑑定をご希望の場合はその旨お申し出ください。
-
-
02
見積り・納期の
ご連絡01の資料が弊社に到着後、3〜5営業日以内にメールにて費用のお見積もりと納期をご案内します。
-
03
(生前)意思能力鑑定サービスの正式依頼
費用と納期をご確認いただき、正式なご依頼をお願いいたします。
-
04
鑑定日時・場所の
調整鑑定日時・場所の調整を行います。
-
05
鑑定日当日
国内外で実際に使用されている認知スケール検査や各種知能検査、医師による構造化面談を行います。
-
06
鑑定報告書と映像
記録のご納品鑑定日から約2週間後に納品となります。
- 各種検査結果シート
- 医師により、各評価に基づき総合的に評定された鑑定報告書
- 鑑定の施行状況を記録したDVD映像





