画像鑑定サービス
画像読影の専門家である
放射線科専門医が読影し、
ご質問に対しQA方式で
お答えします
画像読影を行う放射線科専門医は、アメリカなどではドクターズドクターと呼ばれるほど、高度な技術を要する専門医です。当社で依頼を受ける画像鑑定は、日本でもトップクラスの実績をもつ放射線科専門医が行います。
先生方のお聞きになりたいポイントに対して、QA方式で回答を行い、報告書を提出します。
画像はフィルムでもCD-ROMでも対応可能です。また、弊社の有するデジタイザーによって、フィルム画像をデジタル変換し、CD-ROMでお渡しすることも可能です。
「鑑定報告書」をご提供

放射線科医師がCT/MRI/Ai/PETなどの画像を鑑定し、報告書を納品します。器質的所見の有無はもちろん、外傷性か経年性か、症状の原因は画像上特定できるか、出血部位を特定できるかなど、あらかじめいただいたご質問に対して、報告書の中で回答します(医師の顕名あり)。
画像鑑定をご利用いただくことで、臨床医が見落とした所見や、臨床医とは異なる見解の情報が得られることがあります。
画像鑑定ご利用の流れ
-
01
資料および質問書の送付
以下の資料を弊社宛にお送りください。
-
見積依頼書
-
画像やカルテなどの医療資料
※フィルムでも対応可能ですが、なるべく医療機関からはDICOM形式(*)のCD-ROMでお取り寄せください。デジタルデータであることで詳細な情報が得られます。
-
医師への質問書(書式自由)
*DICOMとは、Digital Imaging and Communications in Medicineの頭文字で「ダイコム」と読みます。CT・MRI・内視鏡・超音波などの医用画像診断装置、医用画像プリンタ、医用画像システム、医療情報システムなどの間でデジタル画像データや関連する診療データを通信したり、保存したりする方法を定めた国際標準規格です。
-
-
02
見積り・納期の
ご連絡01の資料が弊社に到着後、3~5営業日以内に、メールにて費用のお見積りと納期をご案内します。
-
03
画像鑑定サービスの正式依頼・着手
費用と納期をご確認いただき、正式なご依頼をお願いいたします。
-
04
鑑定報告書を納品
鑑定報告書を納品いたします。
ご依頼時の注意事項
- 画像資料はフィルムでも対応可能ですが、医療機関からなるべくCD-ROMで取り寄せください。デジタルデータであることで詳細な情報が得られます。
- フィルムの場合にはデジタルデータに変換する手数料が別途発生しますが、デジタルデータ化したものをDICOM に変換しCD-ROMで納品いたします。
- 弊社は生前の意思能力鑑定以外の内容については、一般の方からの依頼はお引き受けしておりません。お手数ですがご依頼は代理人(弁護士・保険会社)を通してお願いいたします。
- 画像鑑定の見積もりは弊社独自の基本容量を設定し容量内もしくは容量加算に合わせて作成しております。
- 精査対象画像を弊社のサーバーに取り込み自社開発の読影システムにて放射線科専門医が読影しております。
画像診断機器
-

検査:レントゲン
CR(コンピューターX線撮影)は、X線を使って人間の透過像を作ります。各組織の1方向からの撮影のため、CT検査より短時間かつ低被曝での検査が可能です。
- 特長
- 短時間・低被曝
-

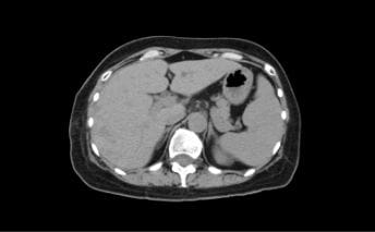
CT(コンピューターX線撮影)
CTはX線を使った人間の身体の透視画像を作ります。カメラが身体の周りをグルグル回り、輪切りの画像を何枚も撮り、単純な断層画像だけでなく、それらをつなぎ合わせて立体的な画像の作成もできます。
- 特長
- X線吸収差の大きい骨や肺の描出に優れている
-

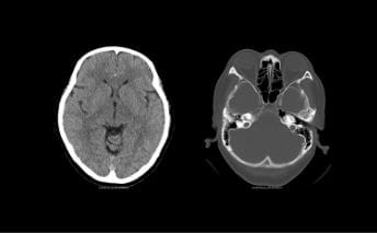
MRI(磁気共鳴画像撮影装置)
人間の身体、その7割は水(H2O)です。MRIは磁気を使って、水の中の「水(H)」の動きをとらえて、組織の様子を画像化します。
- 特長
- 脂肪、筋肉、骨、腱などが明瞭に観察でき、骨盤内の描出に優れている
テスラの違い
【要確認】メディカルリサーチでは、3.0T(テスラ)の機器を用いてMRI撮影を行っています。
3.0T(テスラ)の機器で撮影すると末梢脳血管まではっきりと確認することができます。-
1.5T(テスラ)診断画像 -
3.0T(テスラ)診断画像
-

PET(陽電子放射断層撮影装置)
PETはブドウ糖に似た薬(放射性薬剤)を注射して、がんの居所を探る機械です。がんがある場合にPETで見ると、その場所は赤く光ったり、黒い影になったりします。検査は全身を一度に撮影するので、遠隔転移の状況も確認できます。
- 特長
- がんの発見や脳機能の画像化に優れている
Ai(死亡時画像診断)

解剖前に行うAi
(Autopsy imaging)
=「死亡時画像診断」とは
死亡時に施行される医学的な検索(死亡時医学検索)は、「病理解剖」「司法解剖」「行政解剖」の3つに分類されます。もっとも、解剖資格を持つ医師の不足などにより、解剖実地率はわずか数パーセントと極めて低くなっています。異常死はもちろんのこと、病院内での死亡についても、死亡時の真の病態・真の死因が明確になる例は非常に少ないと言えます。
近年では、解剖の前にCTやMRI等の画像診断装置を用いて死因究明が行われています。
-
従来の解剖(死亡原因究明)の流れ
- 検案(体表)
- 体表の状態だけから解剖を決定
- 解剖(手術)
-
新たな解剖(死亡原因究明)の流れ
- 検案(体表)
- AiCTやMRIを使用し、
死亡時画像診断を行う - 解剖(手術)
Ai(死亡時画像診断)が必要となるケース
-
児童虐待が疑われるケース
医療者側としては、虐待が疑わしくても確信がないと剖検を勧めづらく、また病理解剖の場合遺族の承諾がないと実施できない。
-
医療過誤などが疑われるケース
病院内でも手術後急変した症例や、病態が急変し、なぜ死亡したのか分からない時にAi(死亡時画像診断)は有効。
-
遺族が医療に納得できないケース
通常の病死でも最後の段階では急変することがあり、事故や事件性が無くても、遺族としては正確な死因が知りたいケース。
放射線科医のご紹介

メディカルリサーチ株式会社創業者・顧問医
医療法人DIC宇都宮セントラルクリニック理事
佐藤 俊彦
1990年代より、メディカルリサーチ株式会社の前身となる遠隔画像診断サービスを開始。病気の早期発見、治療に積極的に取り組む。
【 著書 】
- 『ステージ4でもあきらめない最新がん治療』幻冬舎 2022年
- 『最新放射線治療でがんに勝つ サイバーナイフとトモセラピーが、がん治療を変える』幻冬舎 2017年
- 『認知症の画像診断 第一人者が語る ボケは止められる!』パブラボ 2015年
など他多数


















